L’œdème pulmonaire chez le chat survient parfois de façon soudaine et représente une véritable urgence vétérinaire. Cette affection sérieuse correspond à une accumulation de liquide dans les poumons, perturbant la respiration et mettant en péril la vie de l’animal. Il demeure donc essentiel de repérer les symptômes, de connaître les principales causes et d’agir rapidement pour préserver la santé de votre compagnon félin.
Quelles sont les principales causes de l’œdème pulmonaire chez le chat ?
Divers mécanismes peuvent entraîner une accumulation de liquide dans les poumons chez un chat. L’insuffisance cardiaque figure parmi les premières causes observées, mais il existe également des origines non cardiaques qu’il ne faut pas négliger.
L’œdème pulmonaire apparaît lorsque la barrière vasculaire des poumons devient perméable sous l’effet de différentes pressions ou lésions. Une cardiopathie, notamment chez le chat âgé ou souffrant de maladies cardiaques héréditaires ou acquises, expose fortement à ce problème respiratoire. Retrouvez-nous sur : Mon chat boite mais pose la patte : comprendre les causes et réagir
Causes liées au cœur
Une insuffisance cardiaque gauche gêne la circulation sanguine dans le cœur, provoquant un reflux vers les poumons. Ce phénomène induit alors une accumulation progressive de liquide dans les alvéoles pulmonaires, limitant les échanges gazeux et compliquant la respiration.
Des affections telles que la cardiopathie hypertrophique, fréquente chez certaines races félines, sont souvent en cause. Un suivi régulier de la fonction cardiaque permet parfois d’anticiper cette complication grave.
Causes non cardiaques
L’œdème pulmonaire peut aussi découler d’autres facteurs médicaux. Par exemple, un état de choc, une électrocution accidentelle ou l’inhalation de toxines et d’allergènes agressifs fragilisent la structure capillaire pulmonaire, entraînant l’exsudation de liquide vers les voies respiratoires.
Certaines affections rénales ou troubles endocriniens représentent également des maladies sous-jacentes susceptibles de favoriser l’œdème pulmonaire, tout comme certains traumatismes physiques ou infections sévères.
Quels sont les symptômes révélateurs d’un œdème pulmonaire ?
Reconnaître les signes précoces d’une respiration difficile chez le chat est capital. Plus l’intervention sera rapide, plus les chances de survie seront élevées. Ces symptômes restent souvent peu spécifiques et nécessitent une évaluation vétérinaire urgente pour établir le diagnostic.
D’abord discrets, ces signaux s’aggravent en quelques heures et deviennent de plus en plus visibles, traduisant la progression de l’accumulation de liquide dans les poumons.
- Respiration rapide, superficielle (tachypnée)
- Battements de cœur accélérés
- Mouvements anormaux de la cage thoracique
- Gêne lors de la déglutition ou de la prise alimentaire
- Toux inhabituelle, bien que moins fréquente que chez le chien
- Mauvaise tolérance à l’effort, abattement marqué
- Gencives pâles voire bleutées (cyanose)
Certains chats s’isolent, cherchent à se reposer la tête haute et la gueule ouverte pour mieux respirer. Leur comportement général change visiblement, ce qui doit inciter à consulter sans attendre.
Pourquoi l’œdème pulmonaire constitue-t-il une urgence vétérinaire ?
Un chat touché par cette pathologie risque rapidement l’asphyxie si aucun geste n’est entrepris. La rapidité d’évolution impose une intervention immédiate afin de stabiliser l’état de l’animal et d’éviter des conséquences irréversibles.
Le principal danger provient de la perturbation du transport de l’oxygène dans l’organisme. Sans traitement adapté, l’accumulation de liquide dans les poumons entraîne une défaillance vitale, touchant en priorité le système cardiorespiratoire.
Risque vital lié au manque d’oxygène
La réduction du taux d’oxygène circulant provoque une hypoxie généralisée. Les organes sensibles comme le cerveau et le cœur sont particulièrement exposés à ce déficit, ce qui aggrave le pronostic sans intervention rapide.
Les axes thérapeutiques visent principalement la réoxygénation avec une administration d’oxygène, tout en allégeant le travail du muscle cardiaque pour prévenir une aggravation de l’insuffisance cardiaque ou d’autres complications multiviscérales.
L’importance d’un diagnostic rapide
Face à des signes persistants de difficulté respiratoire, une consultation en urgence s’impose. Avant même la confirmation diagnostique, les équipes vétérinaires sécurisent les fonctions vitales et mettent en place les premiers gestes de stabilisation.
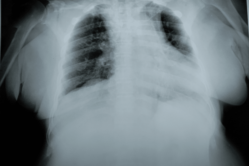
Des examens complémentaires, tels que la radiographie thoracique ou l’échocardiographie, contribuent à identifier la cause exacte de l’insuffisance respiratoire et à adapter le traitement à l’origine spécifique de l’œdème pulmonaire.

Comment traite-t-on efficacement l’œdème pulmonaire chez le chat ?
Le traitement vise à limiter la quantité de liquide accumulé dans les poumons tout en s’attaquant à la maladie sous-jacente responsable. Plusieurs approches médicales et techniques sont associées dès que possible pour optimiser les chances de récupération.
L’oxygénothérapie reste une étape indispensable. Apporter du repos respiratoire aide l’organisme à récupérer et réduit le stress souvent intense observé chez un chat en situation de détresse respiratoire aiguë. Une surveillance attentive durant toute la phase critique est nécessaire.
Traitements médicamenteux et actions ciblées
Des diurétiques puissants sont administrés pour éliminer rapidement l’excès de liquide présent dans les poumons. Dans certains cas, des médicaments visant à améliorer la fonction cardiaque complètent la prise en charge, surtout si une insuffisance cardiaque est confirmée comme origine de l’œdème pulmonaire.
Pour chaque cas, l’identification précise d’une maladie sous-jacente conditionne la durée et le type de traitements à poursuivre après la phase aiguë. L’hygiène de vie, une alimentation adaptée et le contrôle du poids offrent également des leviers correctifs, en complément du suivi médical continu.
Pronostic et surveillance après stabilisation
Après la phase aiguë, un bilan approfondi recherche la présence éventuelle de séquelles et ajuste les soins sur le long terme. Les chats atteints de pathologies chroniques nécessitent des bilans réguliers et parfois des traitements quotidiens, afin de limiter la récidive de l’œdème pulmonaire.
L’implication du propriétaire, notamment dans l’observation du comportement à domicile, complète la prise en charge vétérinaire et favorise la détection précoce de toute rechute ou aggravation. N’oubliez de faire un tour sur : Chat qui se gratte : comprendre les causes et agir pour soulager votre compagnon
Questions fréquentes sur l’œdème pulmonaire chez le chat
Quels signaux indiquent une urgence chez le chat atteint d’œdème pulmonaire ?
Des symptômes comme une respiration difficile, une ouverture prolongée de la bouche, une coloration bleuâtre des gencives ou un abattement extrême signalent une urgence. Dans ce cas, il est impératif de transporter le chat chez un vétérinaire sans délai.
- Mouvements respiratoires rapides
- Incapacité à rester couché
- Absence totale d’appétit
Comment différencier l’œdème pulmonaire d’autres problèmes respiratoires ?
Seule une auscultation professionnelle et des examens d’imagerie permettent de distinguer l’œdème pulmonaire d’une pneumonie, d’une embolie ou d’un coup de chaleur. En général, l’œdème pulmonaire présente une accumulation visible de liquide dans les poumons lors d’une radiographie thoracique.
| Situation | Principal signe radiologique |
|---|---|
| Œdème pulmonaire | Ombres diffuses dans les deux champs pulmonaires |
| Pneumonie | Opacités localisées ou segmentaires |
Peut-on prévenir l’apparition d’un œdème pulmonaire chez le chat ?
Il n’existe pas de prévention universelle, mais un suivi vétérinaire régulier permet de détecter tôt une insuffisance cardiaque ou d’autres maladies sous-jacentes. Prendre en charge ces pathologies à temps réduit nettement les risques d’évolution vers un œdème pulmonaire.
- Bilan annuel recommandé (échocardiographie)
- Contrôle du poids et régime équilibré
- Observation attentive des changements de comportement
Quel est le coût moyen d’un traitement pour œdème pulmonaire ?
Le prix d’un traitement contre l’œdème pulmonaire dépend de nombreux facteurs, notamment la gravité, la nécessité d’une hospitalisation et la durée du suivi. Comptez généralement entre 200 € et 800 €, auxquels peuvent s’ajouter des frais de suivi si une maladie sous-jacente doit être traitée à long terme.
| Phase de prise en charge | Fourchette tarifaire (€) |
|---|---|
| Urgence initiale | 200-400 |
| Examens complémentaires | 100-250 |
| Suivi longue durée | 150-400 par an |
